ボロボロからの復活

びわ湖大津デンタルクリニックはボロボロの歯を復活させることが出来ます!
この患者様は、「虫歯がたくさんある,噛めない,入れ歯が欲しい,他院に行ったら怒られた」など、様々な理由で困って当院にお越しいただきました。
びわ湖大津デンタルクリニックではこのような患者様にたくさん通っていただいているので、ボロボロの治療には慣れています。
今回の患者様は完全にお任せでしたので、必要な所は全て保険で治療させていただきました。
初診時の状態

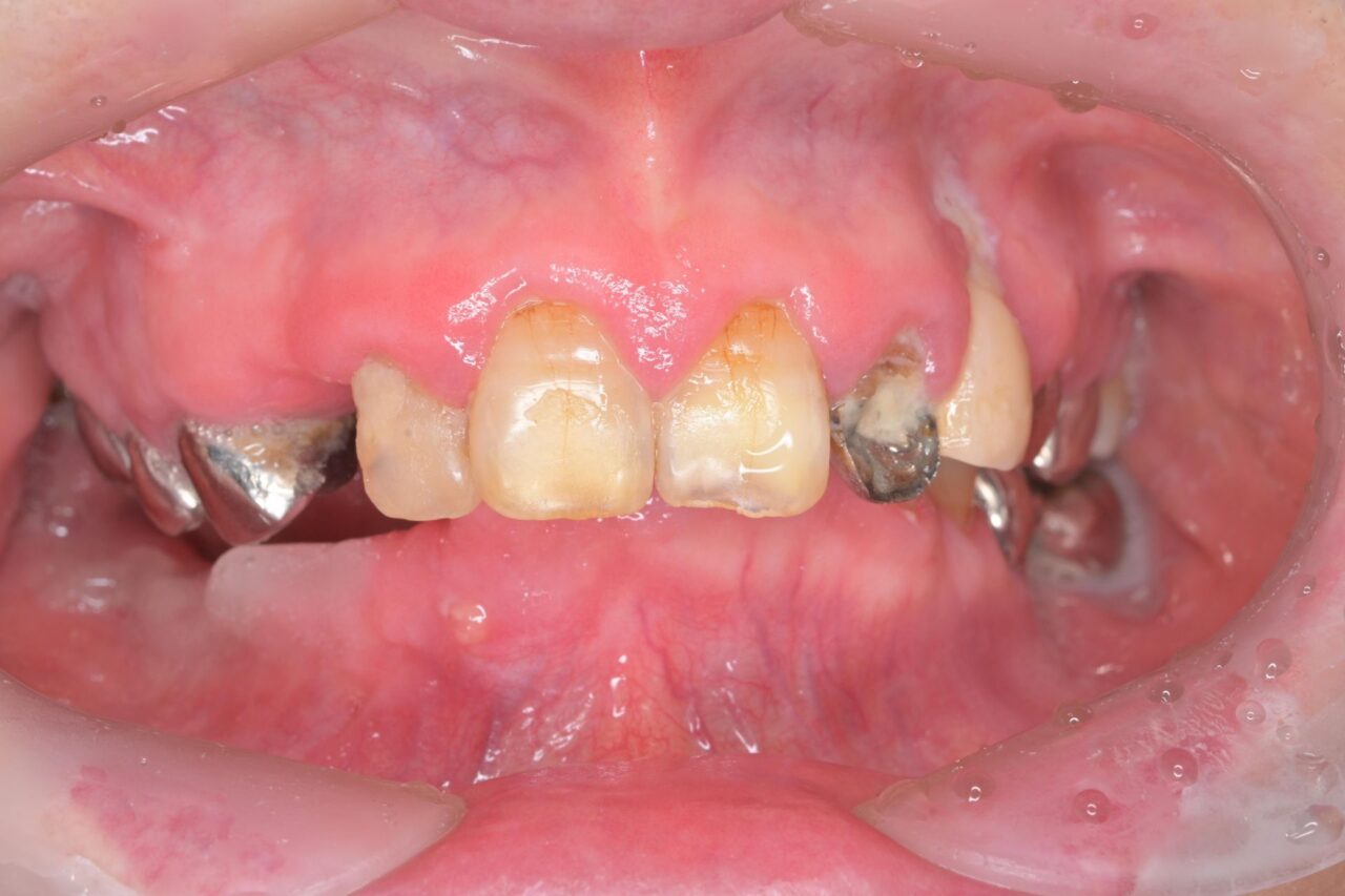
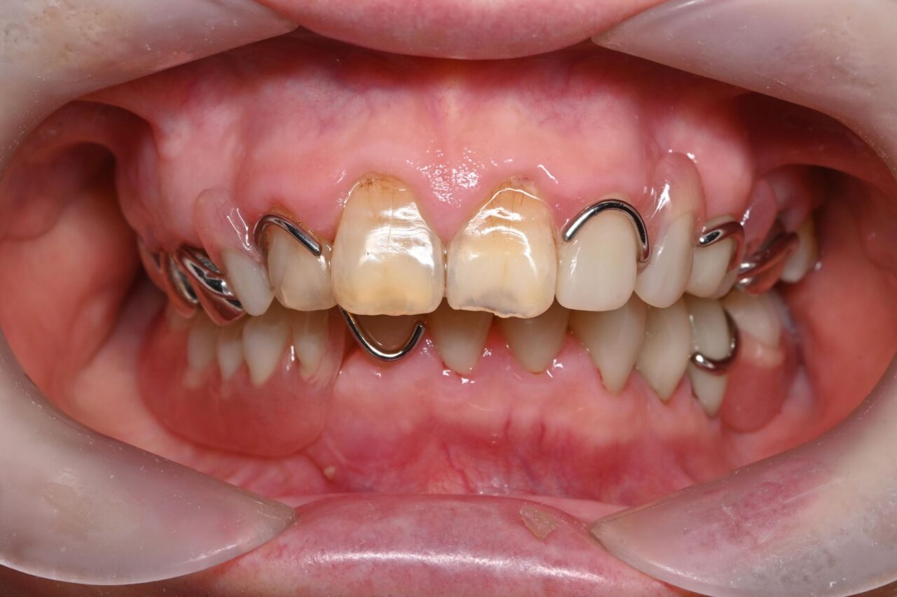
正面
下の歯が全く見えません。
奥歯が無くなって噛み込みが深くなってしまい、下の前歯が上の歯茎に刺さっている状況です。

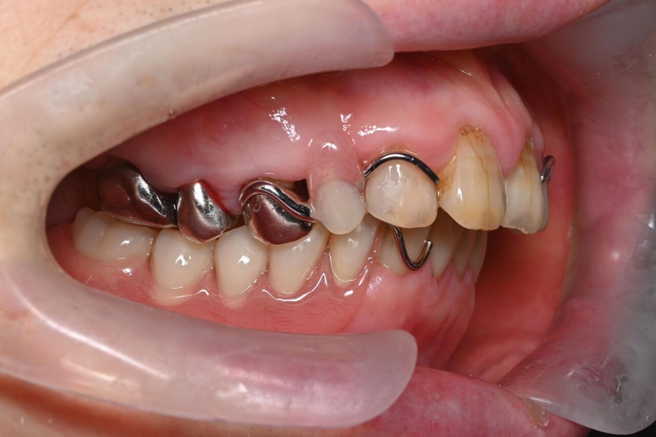
右側
右下には全く歯がありません。
これでは奥歯でお肉が噛めません( ;∀;)

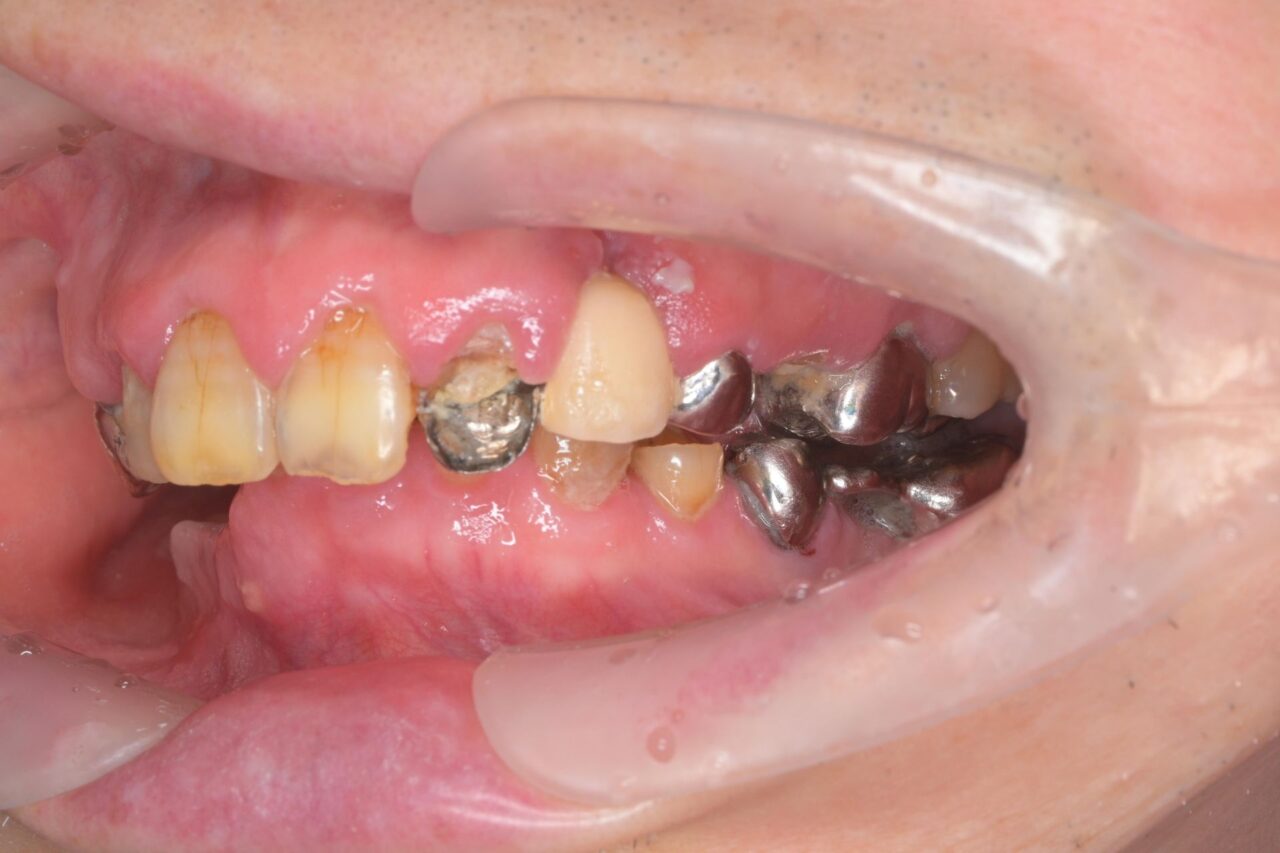
左側
一見、左側は歯があるように見えますが、ブリッジが入っていてかぶせ物の中が完全に虫歯でやられてしまっています。(レントゲン写真で確認済み)
歯科治療において、ブリッジは絶対にやってはいけません!!!!!!!

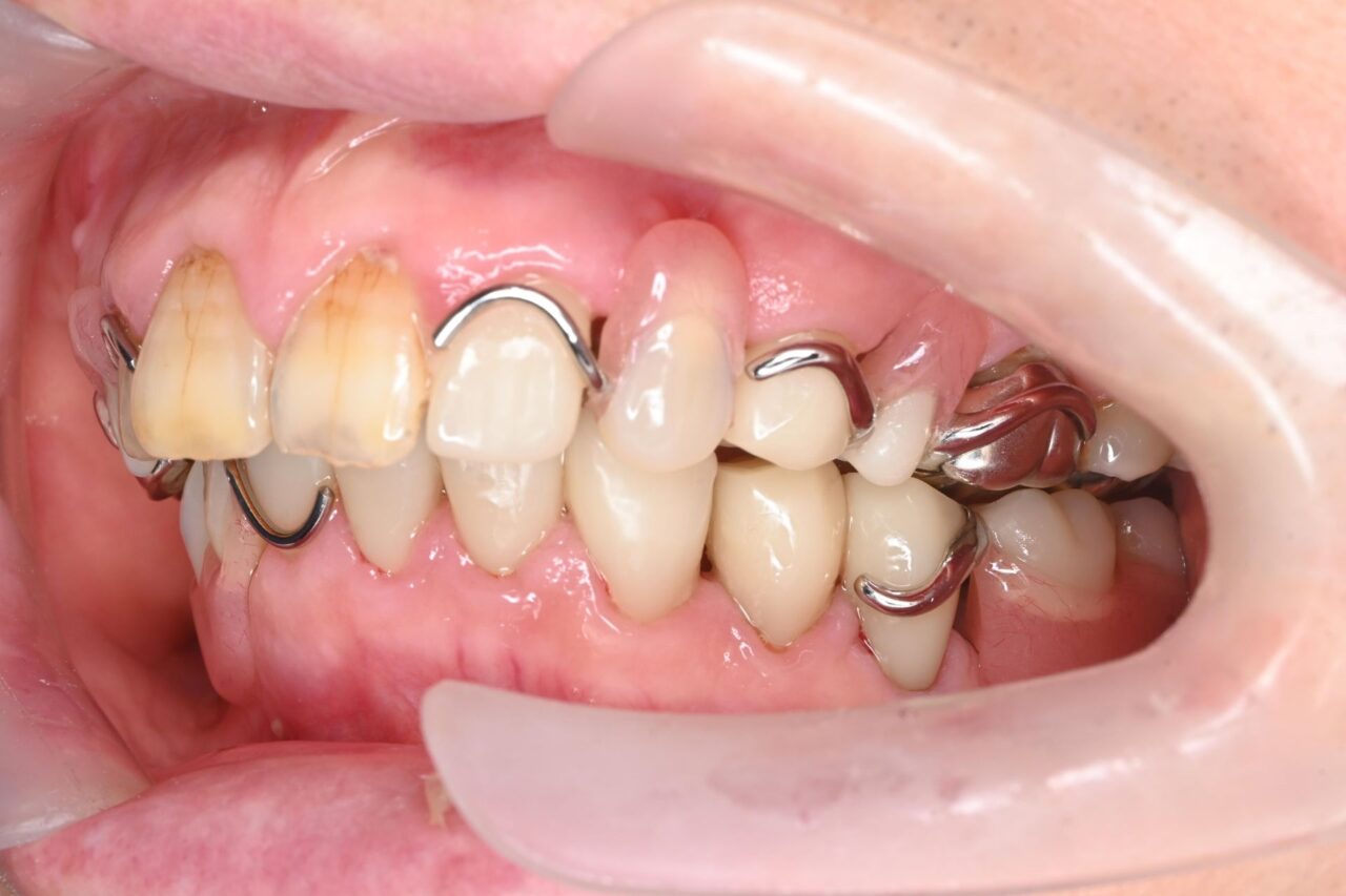
上面
虫歯を放置して残根状態です。このような歯を放置すると命の危険にさらされます。

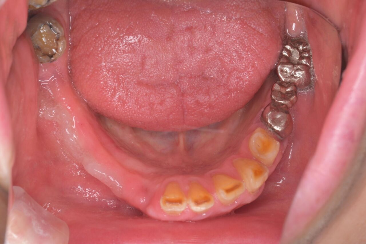
下面
親知らずが残っていますね。
びわ湖大津デンタルクリニックでは、不要な親知らずは即抜歯です。
ブリッジも不衛生かつ虫歯になっていますので、迷わず撤去。
治療期間は約5か月

正面
奥歯を入れ歯でバイトアップさせて下の歯が見えるようになりました。
入れ歯のバネ(銀色)が目立ちますが、保険の義歯なので仕方ないです。自費の入れ歯にすれば見た目はさらに改善します。

右側
上の銀歯は治療せずにそのまま使いました。
下は入れ歯です。これで、奥歯は噛めるようになりました。
※矯正をしていませんので、出っ歯は治せません。

左側
下のブリッジは撤去して入れ歯にしました。

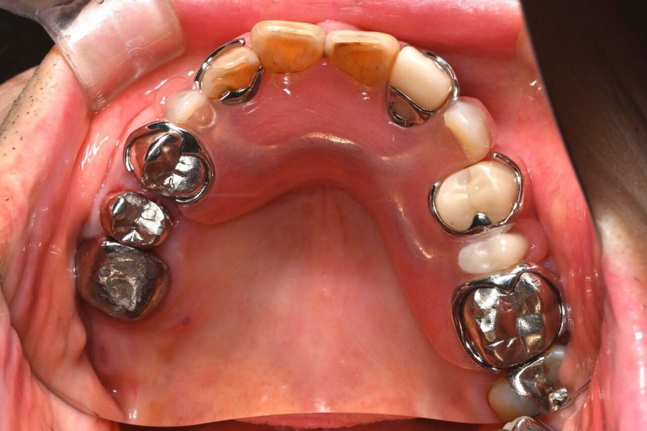
上面
最小限の入れ歯にして、咬合を復活させました。

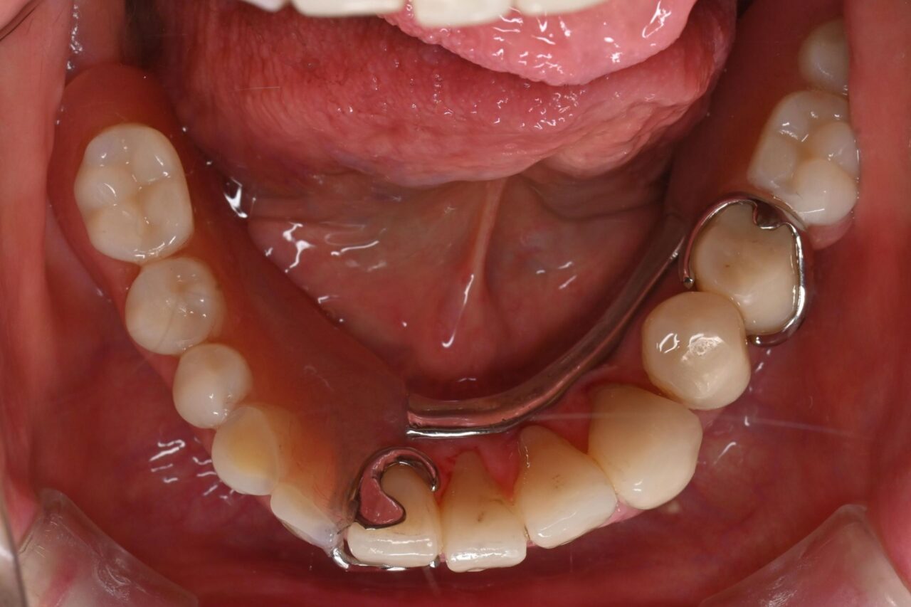
下面
入れ歯以外の自分の歯は全て保険のCAD/CAMに置き換えました。
今回の治療は約5ヶ月かかりました。
治療途中で全く噛めなくてご不便をおかけしましたが、無事に治療を終えることが出来ました。
同じような状況でお困りの方はびわ湖大津デンタルクリニックにお越しください。
お待ちしています。




