【治療中】出っ歯はプレオルソで治せ!(執筆中)


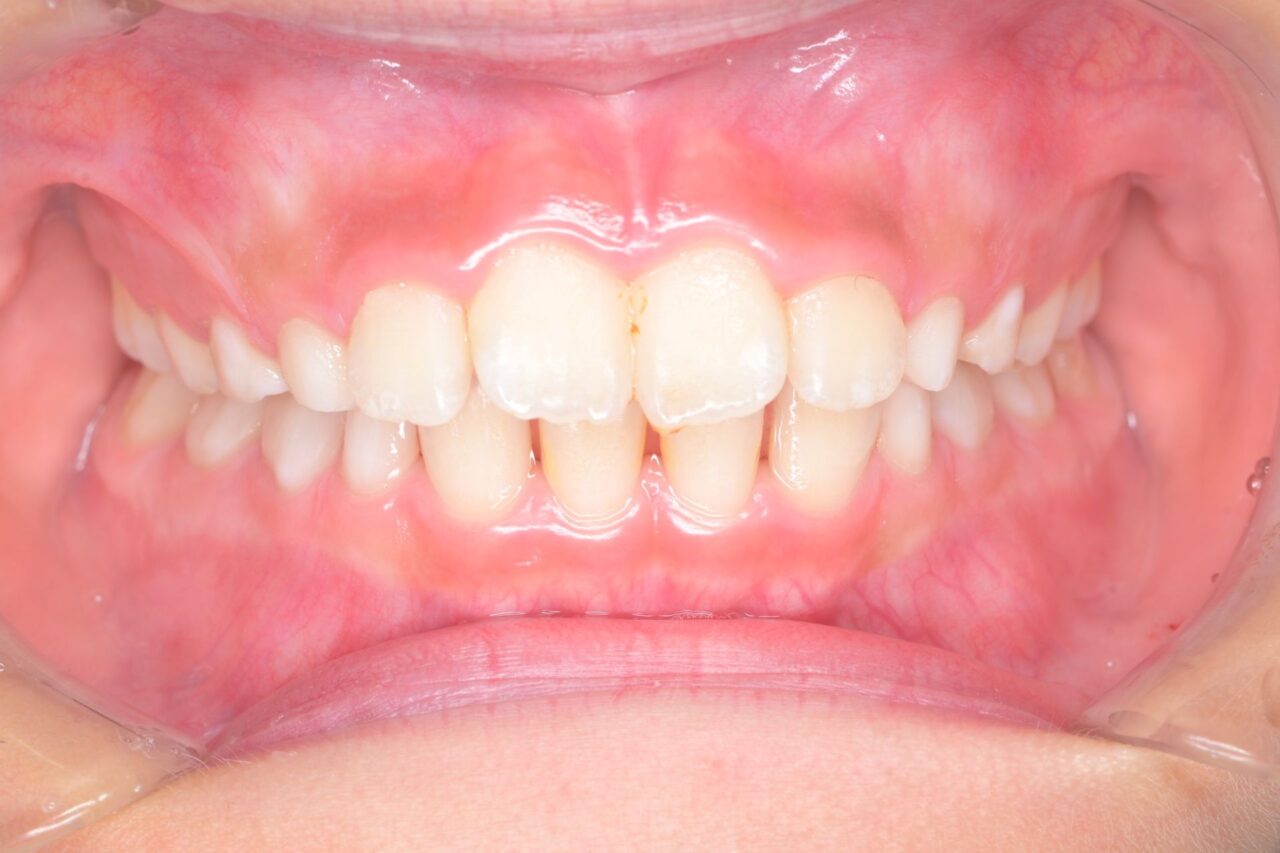
正面
前歯が翼状捻転していてかなり主張しています。
咬み合わせが深くて(過蓋咬合)、下の歯が上の歯茎に刺さっています( ;∀;)

右側面

左側面

上面
前歯が外に開いている感じになっています

下面
下は問題なし

見るからに出っ歯で何とかしてあげたい!

出っ歯の治療によく使うのがプレオルソです!
起きてる時に1時間以上,寝ている時に6時間以上使用することで、口腔周囲の筋肉を鍛えて歯並びを改善する器具です。
緻密な歯列補正をすることはできませんが、お子様の矯正にはよく使用されます。

正面

右側方
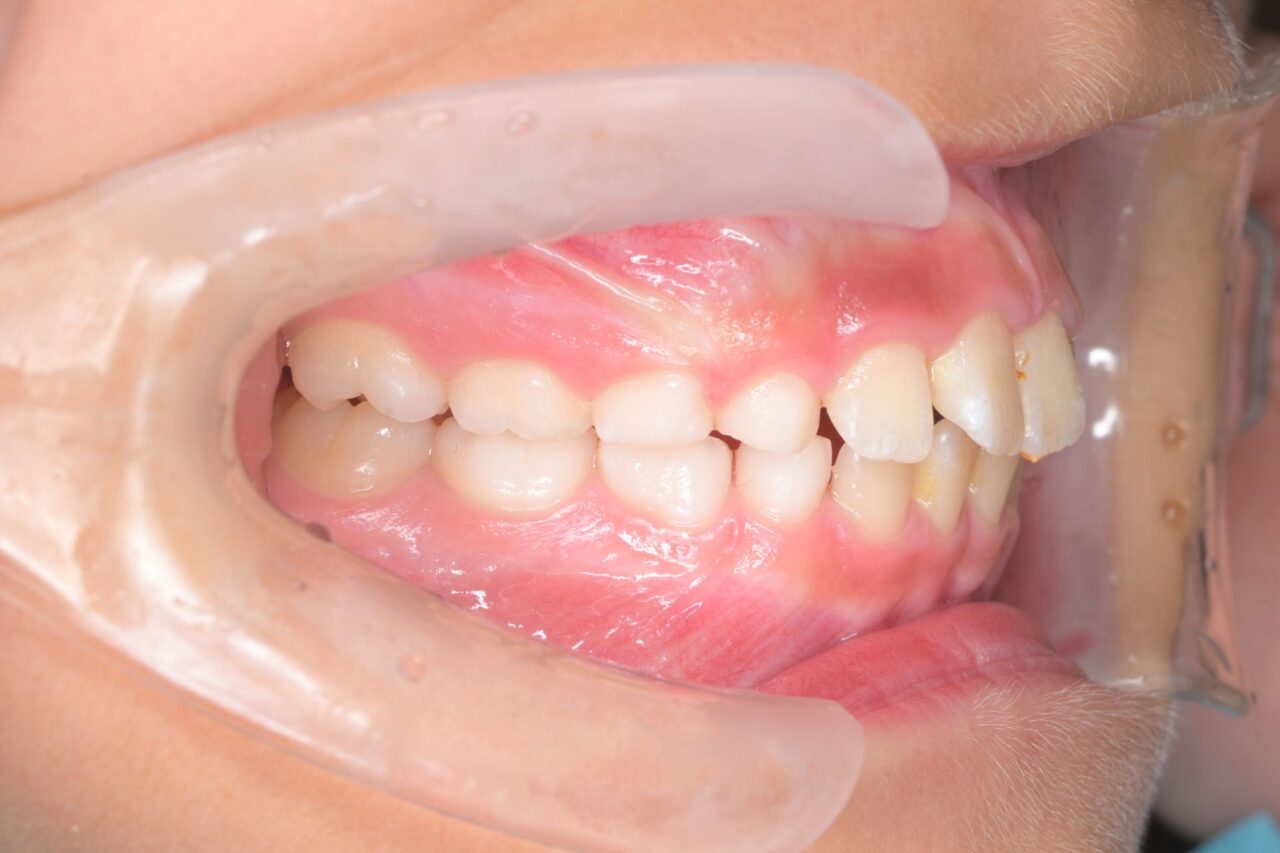
見た目はだいぶ改善されましたが、奥歯のかみ合わせがⅡ級のままです。

左側方
見た目はだいぶ改善されましたが、奥歯のかみ合わせがⅡ級のままです。

上面
明らかにアーチの形が改善されています。
これこそがまさにプレオルソの醍醐味

下面
下はさほど変わらず

出っ歯が大きく改善されました。
理想的な状態まではまだまだですが、最初に比べたら雲泥の差です。

約1年で見事に出っ歯が治りました。
まだ永久歯が生えそろっていないので、しばらく経過観察です。




