ボロボロからの脱却

本日は、びわ湖大津デンタルクリニックで治療を完了した患者様をご紹介いたします。
昔治療した補綴物(かぶせ物)が汚くなってきたり、奥歯が崩壊しているから噛めないって事で、当院のブログを見つけてくださって勇気を出してお越し頂きました。
当院には、毎日このような患者様が来られますので、安心してお任せください。
治療スタート!
治療前

正面
上の前歯が完全に黄ばんでしまっています。保険で治療するとこのように黄ばんでしまうのがデメリットです。さらに、かぶせ物と歯茎の境目が露出していて非常に不衛生な状態になっています。

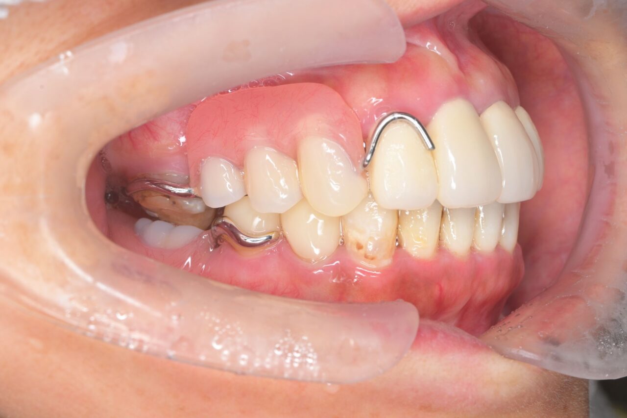
右側面
奥歯がありません。前歯があるので不格好にはならないのですが、奥歯=大黒柱が無い状態です。奥歯が無いことによって、かみ合わせが深くなってしまい、顎関節にも負担がかかっている状況です。

左側面
左右共に奥歯が無いので、歯の支えが全く無い状態です。これでは、お肉などを噛むことが出来ません。
さらに、舌も肥大化してしまっていますねぇ。
「前歯があるじゃん。」と思うかもしれませんが、前歯はうどんなどの柔らかいものを噛み切るための物で、決して硬いものを噛むための歯ではありません。柔らかい物ばかりを食べていると炭水化物が多くなってしまい糖尿病にもなりやすくなります。大切なのは奥歯です。

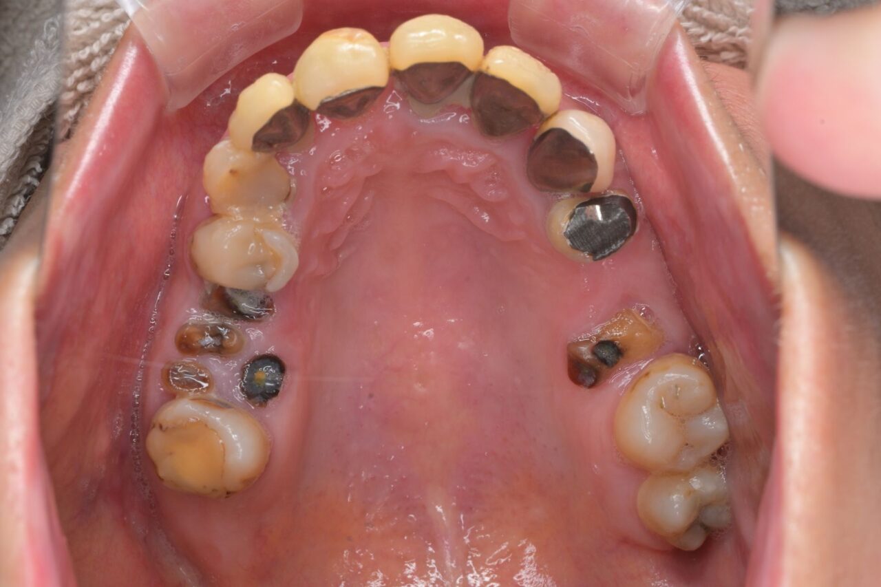
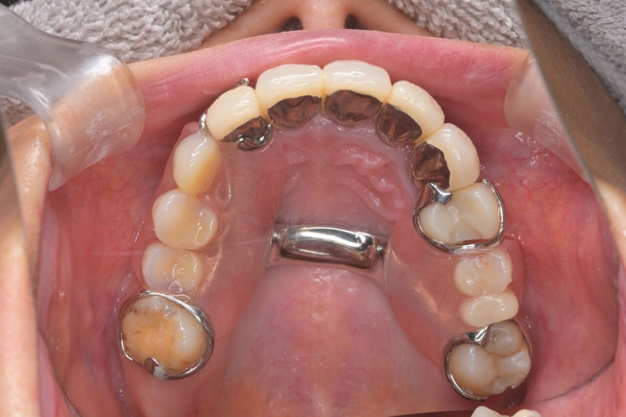
上面
大きな虫歯が放置されていた入り、かぶせ物が無くなって放置されていたり、様々な問題があります。保険治療で済ませようと思うと入れ歯は確定です。

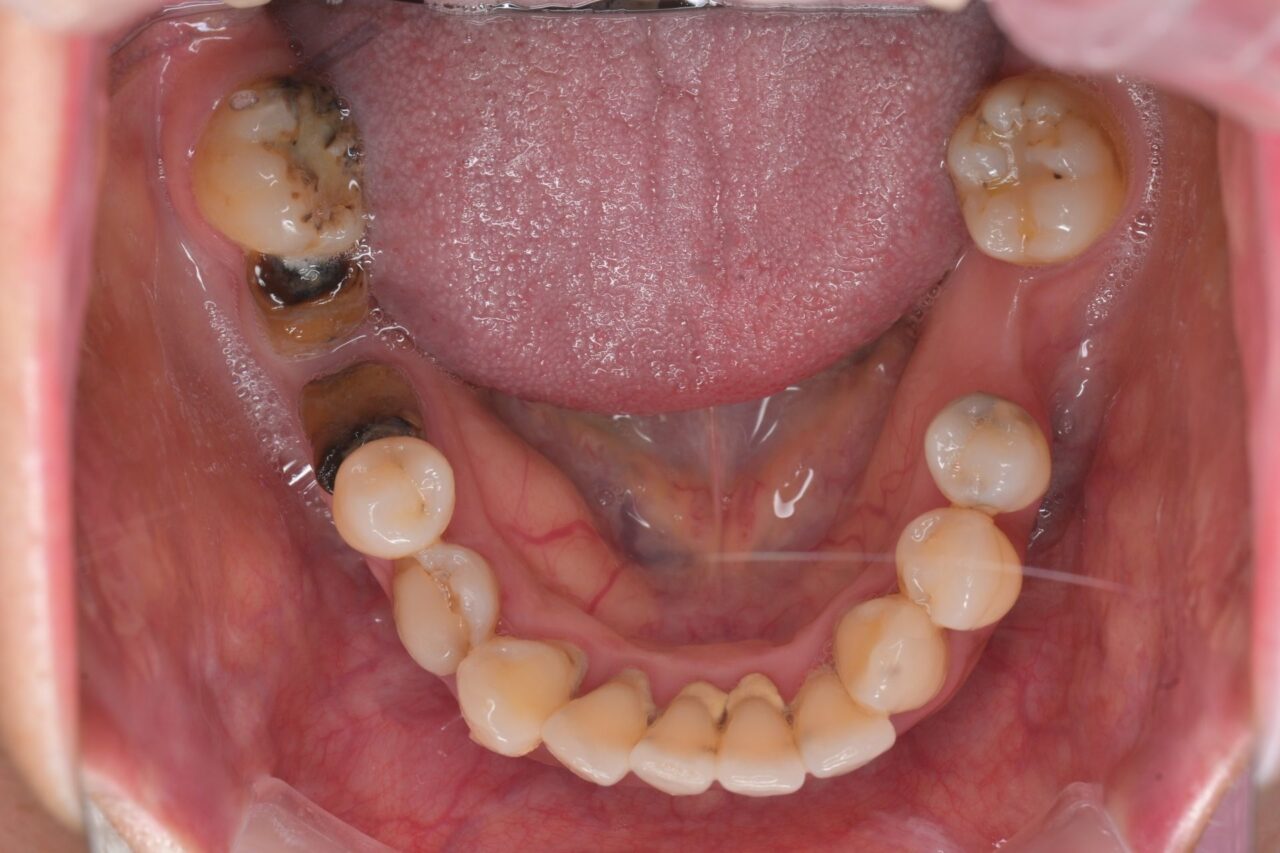
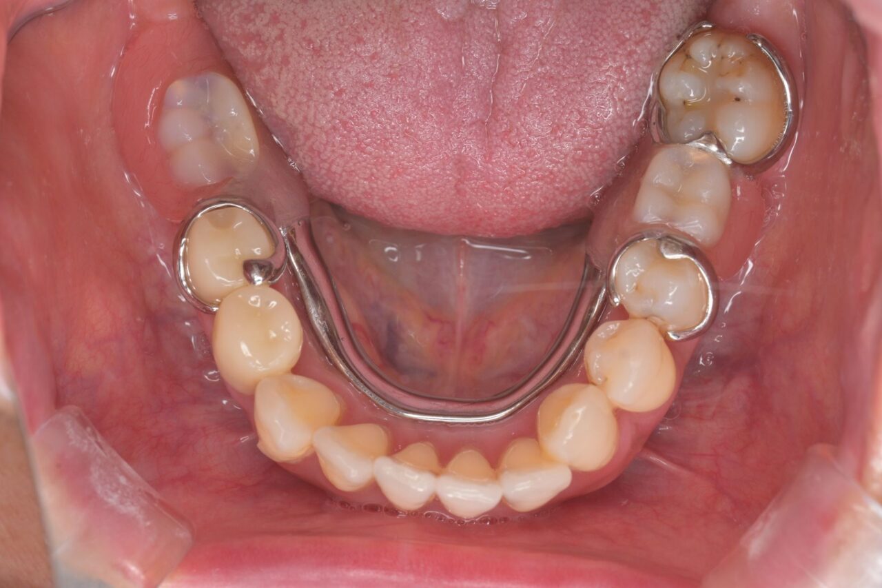
下面
歯石がたくさんついています。歯周病治療も同時に進めていきます。
親知らずも残っているので、即抜歯です。
※びわ湖大津デンタルクリニックでは、不要な親知らずは抜歯します。
完成

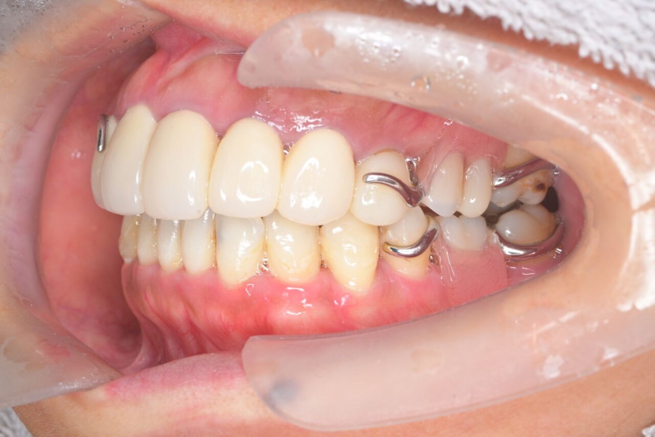
正面
上の歯はフロスが通るように1本ずつ単冠で治療しています。
歯周病で歯茎がロスしていましたので歯が長く見えています。

右側面
見えるところは全て白くしています。

左側面
見えるところは全て白くしています。

上面
歯が無い部分は入れ歯で補いました。
左右の入れ歯を金属でつないで強固にしています。はじめは舌感が悪いと思いますが、慣れが必要です。

下面
親知らずは抜いて歯磨きがしやすい状況にしました。
途中仮歯で不便な時期もありましたが、約4ケ月通って頂いて無事に完成しました。
その間に少しずつ歯磨きも上手になり、今後はこの状態を維持してもらう必要があります。
このように、どんなにボロボロでもなんとかする事が出来ます。
なんとかしたい方は、一度びわ湖大津デンタルクリニックにお越し下さい。
最善の治療方法をご提案いたします。
お問い合わせ
歯をキレイにしたくてお困りの方は『びわ湖大津デンタルクリニック』にお任せください👍
ご予約はご予約フォームからお願いいたします🙇♂️




